
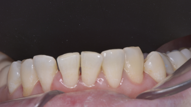
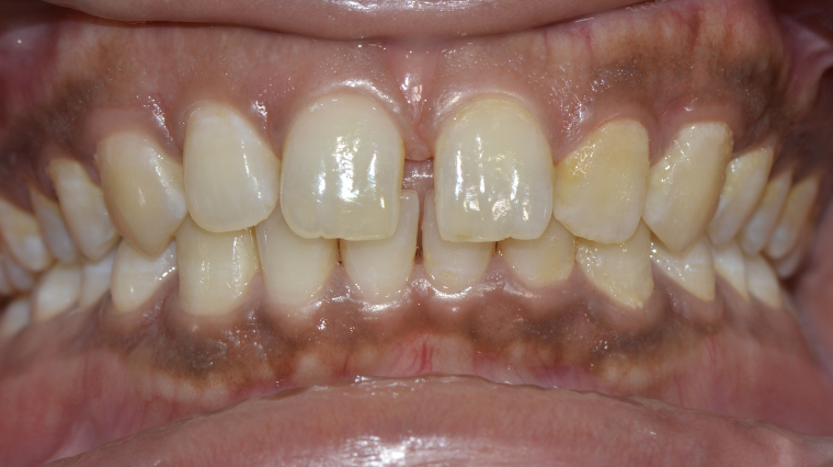
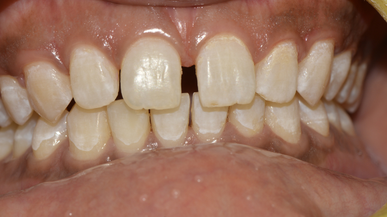
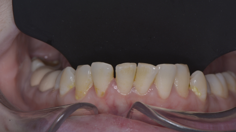
- Tooth bleaching, or whitening, is a cosmetic dental procedure to lighten teeth by removing stains caused by factors like food, tobacco, and age. It can be done at home using over-the-counter strips, gels, or trays, or in-office using stronger bleaching agents and often a light or laser to accelerate the process. Bleaching is not permanent and requires a professional’s guidance, especially for those with dental restorations or underlying oral health issues.
How it works
- Mechanism: The procedure uses oxidizing agents like hydrogen peroxide or carbamide peroxide to lighten the color of the tooth. These agents break down stain molecules that have penetrated the enamel, making the teeth appear whiter.
- Types of discoloration: Tooth discoloration can be extrinsic (stains on the surface) or intrinsic (stains within the tooth). Bleaching is effective at removing many common extrinsic stains.

Bleaching methods
- In-office bleaching: A dentist applies a high-concentration whitening gel (25–40% hydrogen peroxide) directly to the teeth. A special light or laser is often used to accelerate the bleaching process, providing fast results.
- At-home (dentist-supervised) bleaching: A dentist provides a custom-fit mouthguard and a lower-concentration whitening gel (10–20% carbamide peroxide). The patient applies the gel in the tray for a set amount of time, typically overnight or for a few hours each day.
- Over-the-counter (OTC) products: These are readily available and include whitening strips, gels, and toothpastes. They contain lower concentrations of the active bleaching agents.

Important considerations
- Not permanent: The effects of teeth whitening are not permanent and can last from several months to a few years, depending on the method and your lifestyle habits.
- Who should avoid it: Teeth bleaching is not recommended for individuals under 17 or those who are pregnant or breastfeeding.
- Not for restorations: Bleaching only works on natural teeth and will not whiten crowns, veneers, or implants.
- Side effects: Some people may experience temporary tooth sensitivity or minor gum irritation. Gingival irritation from ill-fitting trays is also possible.
- Cost: The cost varies depending on the chosen procedure. In-office treatments are generally more expensive than at-home or OTC options.


