
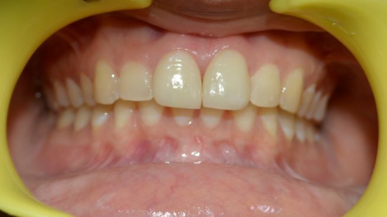
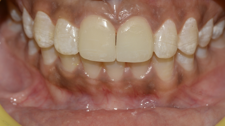
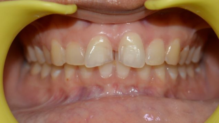
- Dental veneers are thin, custom-made shells placed on the front of teeth to improve their appearance by correcting issues like discoloration, chips, or gaps. Made from materials like porcelain or composite resin, they offer a natural look and can be a permanent cosmetic solution. The process involves bonding the shell to the tooth, often after a small amount of enamel is removed, which is why it’s generally considered irreversible.

What they are
- Custom-made shells: Veneers are custom-built in terms of color, shape, size, and length to fit the front surface of your teeth.
- Material options: They are most commonly made from porcelain or composite resin.
- Bonded to teeth: They are permanently bonded to the front of teeth to improve their appearance.
What they fix
- Severe discoloration or stains, Chipped or broken teeth, Gaps between teeth, and Crooked or unevenly shaped teeth.
Key benefits
- Natural appearance: They are designed to look like natural teeth and can be customized to blend seamlessly with your smile.
- Durable: Porcelain veneers are strong and can last for many years, sometimes up to 20, with proper care.
- Stain-resistant: Unlike natural teeth, veneers are resistant to staining.
- Minimal recovery: The recovery time after the procedure is typically short.
Important considerations
- Irreversible procedure: The process often involves removing a small amount of tooth enamel, making it a permanent and irreversible treatment.
- Not for all issues: While veneers can fix many cosmetic issues, they may not be the right solution for every orthodontic or alignment problem, and some cases may still require braces or other treatments.


